Viden om Vestibularis Schwannom
Vestibulær schwannom
Hvert år får omkring 200 mennesker i Danmark stillet diagnosen acusticusneurinom – også kaldet vestibulær schwannom.
Lidelsen er forholdsvis sjælden, og kendskabet til den er lille.
De, der rammes af sygdommen, er derfor ofte usikre over for, hvad sygdommen egentlig er, hvad der kan gøres, og hvilke konsekvenser det kan få.
I Dansk Acusticusneurinom Forening håber vi, at vi gennem denne hjemmeside og gennem vore trykte foldere kan give svar på mange af de spørgsmål, som melder sig i forbindelse med sygdommen.
Det er foreningens ønske at dele viden og erfaringer således, at det måske bliver lettere at træffe et valg omkring behandling. Samtidig håber vi, at vi gennem vores viden og erfaring kan være med til at gøre dagligdagen lettere både for dem, som er ramt af sygdommen og for deres pårørende.
Acusticusneurinom/vestibulær schwannom er en godartet knude (tumor), som bl.a. består af bindevæv. Betegnelsen acusticusneurinom (AN) er i virkeligheden fejlagtig. Den er udtryk for en historisk fortolkning af knudens udgangspunkt. Man ved i dag, at knuden udgår fra nerveskeden – de schwanske celler – der omgiver balancenerven (nervus vestibularis), og den korrekte betegnelse for knuden er derfor vestibular schwannom. Vi har dog, da foreningens navn er Dansk Acusticusneurinom Forening af praktiske grunde på vores hjemmeside valgt hovedsageligt at bruge den oprindelige betegnelse for sygdommen.
Sammen med balancenerven løber hørenerven (nervus cochlearis) og ansigtsnerven (nervus facialis) gennem samme snævre passage i kraniet – den indre øregang – fra og til hjernestammen (se figur).

Figuren viser knudens (tumorens) beliggenhed i forhold til balancenerven, ansigtsnerven og hørenerven. Efter Mayfield Institute ©
I takt med, at knuden vokser og fylder passagen ud, vil der derfor ske en påvirkning af disse nerver, og en ensidig hørenedsættelse er næsten altid det første symptom på et AN.

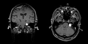
På billederne her ses acusticusneurinomet som en lys plet.
Information
Har du fået konstateret et AN, er det vigtigt, at du får alt så godt belyst som muligt.
Lægen har ifølge lov om Patientrettigheder og cirkulære fra Sundhedsstyrelsen pligt til at informere om lidelsen og om de forskellige behandlingsmuligheder, der findes på området.
Hvis knuden er under 2 cm, anbefales normalt ”vent og se” dvs. årlige MR-skanninger. Hvis knuden er under 2 cm, og den vokser med under 2 mm mellem MR-skanningerne, vil man som regel vælge at se tiden an.
Behandlingen af acusticusneurinomer har siden 1992 været centraliseret på Rigshospitalet. Knuder på under 2-2,5 cm bliver behandlet på Afdeling for Øre-Næse-Halskirurgi og Audiologi. Siden 2016 har praksis dog været, at opfølgningen af patienter med små og ikke-voksende knuder ”vent og se” foregår på lokale ØNH-klinikker uden vejledning fra Rigshospitalet. Patienter med knuder på over 2 cm informeres om operation eller strålebehandling som eventuelle behandlingsmuligheder alt afhængig af, hvordan knuden sidder, og hvor stor den er. Hvis knuden er 2,5 cm eller mere, foregår behandlingen på Afdeling for Hjerne- og Nervekirurgi.
Desuden bliver man informeret om de risici, komplikationer og følgevirkninger, der kan være forbundet med strålebehandling og operation samt om mulige konsekvenser ved valg af “vent og se” (opfølgende kontrolskanninger).
Ved denne information vil lægen sikre sig, at man har forstået de oplysninger, der bliver givet. Informationen følges op med udlevering af skriftligt informationsmateriale.
Det er en god idé at tage et familiemedlem eller en god ven med til samtalen/samtalerne med lægen/kirurgen, fordi man så er to til at høre, hvad der bliver informeret om, og hvad der skal tages stilling til omkring den videre behandling. Familien har samtidig brug for at vide, hvad den evt. skal forberede sig på.
Normalt vil patienten få god tid til at overveje situationen, så man får mulighed for at tale med andre, ligesom man også selv kan søge yderligere informationer om sygdommen.
Tal eventuelt med en person, der tidligere har gennemgået én af de ovennævnte behandlingsformer (kontrolskanning, operation eller strålebehandling) og hør om vedkommendes erfaringer. Ofte er det en hjælp at høre fra andre, hvordan de har klaret sig.
Hvilken behandling bør man vælge
Der kan ikke gives noget entydigt svar på dette spørgsmål.
Man ved ikke, hvilken behandling der er bedst. Det vil sige, hvilken der har det mest holdbare resultat med færrest bivirkninger, da der altid skal tages individuelle hensyn.
Du må i samråd med de behandlende læger tage stilling til, hvilken behandling du foretrækker, når der foreligger forskellige muligheder, idet evt. fordele og ulemper må afvejes.
Det kan være en vanskelig beslutning.
Derfor er det vigtigt, at du søger og får en alsidig information om alle behandlingsmuligheder således, at du selv får indflydelse på det videre forløb. Og husk, der er altid flere muligheder.
På Sundhed.dk kan du læse mere om sygdommen.
For foreningens medlemmer (kræver medlemslogin)
- En pjece om de generelle forhold om acusticusneurinomer Generelt
- Diagnosen acusticusneurinom – hvad så? Diagnose
- Hjernen – Hvad kan være af interesse for acusticusneurinom-patienter Hjernen
- Acusticusneurinom – Informationspjece
- I vores linksamling er der henvist til mange både danske og udenlandske hjemmesider, hvor man kan læse mere om acusticusneurinom.
I dag kan der ikke gives nogen forklaring på, hvad der forårsager acusticusneurinom (AN), og man kan derfor ikke arbejde på at forebygge lidelsen.
Der er forsket meget i forskellige teorier og årsager til lidelsen, der generelt er lige hyppig hos kvinder og mænd. Den gennemsnitlige alder hos nydiagnosticerede patienter med AN er lidt under 60 år.
Hos et lille antal patienter kan der udvikles dobbeltsidige godartede tumorer på hørenerverne. I disse tilfælde er der som hovedregel tale om, at patienterne lider af en anden sygdom, nemlig Central Neurofibromatose (NF2). Her er der tale om en arvelig defekt på kromosom nr. 22. Det defekte gen, der er tale om, kaldes NF2. Lidelsen er karakteriseret ved, at man kan være tilbøjelig til at udvikle godartede tumorer i det centrale nervesystem og i kraniet. Godartede fibromer (bindevævsknuder) kan også udvikle sig langs rygraden.
De første symptomer på et acusticusneurinom(AN) overses let, fordi man dårligt bemærker dem. De symptomer, man som regel først mærker, er lettere nedsat hørelse på det ene øre og evt. svimmelhed og balanceproblemer. Hørenedsættelsen er som regel let, men den ledsages ofte af en mindre, fin lyd eller ringen i øret – tinnitus. Hørenedsættelsen forværres for det meste kun ganske langsomt. Det gør, at mange ikke opdager, at hørelsen er blevet forringet på det ene øre.
Hvis knuden er så stor, at den trykker på omgivende dele af hjernen, kan der komme mere alvorlige symptomer som dobbeltsyn, følelsesforstyrrelser eller påvirket bevidsthedsniveau.
Disse symptomer kan være de samme ved meniér-lidelsen eller ontosclerose (forkalkning i mellemøret).
Hvis knuden presser på ansigtsnerven, kan man få sitren eller nedsat bevægelighed eller følelsesløshed i den ene side af ansigtet.
Nogle får hovedpine og/eller træthed. Kvalme er også almindeligt forekommende.
I dag er det muligt at opdage et acusticusneurinom (AN) på et tidligt tidspunkt ved at foretage forskellige undersøgelser:
- Man kan få foretaget en høreprøve hos egen ørelæge. Hvis den viser ensidig hørenedsættelse, kan årsagen være et AN.
- På sygehuse med ontologiske/audiologiske afdelinger kan man foretage en kalorisk prøve. Det er en undersøgelse, hvor der hældes varmt og koldt vand i øret. Den kan vise, om ligevægtssansen er berørt. Man kan også få lavet en hjernestammeaudiometri, som kan vise, om den ottende hjernenerve er berørt.

Disse 2 hørekurver viser et eksempel på udpræget ensidig hørenedsættelse. Venstre øre (blå kurve) har en alderssvarende hørelse, mens hørelsen i højre side (rød kurve) er meget reduceret især på de højere frekvenser.
Den endelige diagnose stilles ved hjælp af en MR-skanning. MR-skanninger udføres på røntgenafdelinger på de fleste større sygehuse. Ved en sådan skanning kan man finde knuder, der kun er få mm store, og som måske endnu ikke er vokset ud af den indre øregang. Man skal regne med, at der kan være en måleusikkerhed på op til 2 mm.
Et AN vokser som regel langsomt over flere år og sædvanligvis i gennemsnit under 2 mm om året. Man ved også fra undersøgelser, at det kun er ca. 1/3 af knuderne, der vokser efter, at diagnosen er stillet, medens ca. 10 % vokser med mere end 2 mm om året. ” Vent og se”, som består i observation med årlige MR-skanninger, kan derfor være det naturlige valg, hvis knuden er mindre end 20 mm.
Hvis knuden er større end 20 mm, eller knuden er vokset mere end 2 mm under observationstiden, anbefales behandling, da knuden, selvom den er godartet, i nogle tilfælde kan blive så stor, at den kan true livsvigtige funktioner.
Behandlingen af de større knuder kan enten være strålebehandling eller operation.
Vent og se
Hvis acusticusneurinomet – kun – har forårsaget ensidig hørenedsættelse, tinnitus og/eller svimmelhed, og hvis knuden er mindre end 15-20 mm, vil man ofte anbefale “vent og se”, da der er mulighed for, at knuden forbliver i denne størrelse og ikke vokser yderligere.
Som oftest bliver hørelsen dog forringet med tiden, og der kan forekomme nye/ændrede symptomer på trods af manglende vækst.
Man udvikler som regel énsidigt nedsat hørelse. Tinnitus og/eller svimmelhed kan også forekomme, men den behøver ikke at være der hele tiden.
Kontrolskanninger
Når du har valgt “vent og se”, vil du løbende blive undersøgt for at se, om knuden er vokset. Det sker ved MR-skanning, som regel hvert år. Efter ændring af praksis i 2016 følges du af dit lokale hospital eller din lokale ØNH-læge, der lægger en plan for dine kontrolskanninger. Det vil typisk være efter 2, 3, 4, 5, 7, 9, 12, 16 …..år. Hvis du oplever stigende gener eller ubehag, kan du altid blive henvist til en yderligere udredning på Rigshospitalet.
Da der er en vis måleusikkerhed på skanningsbillederne, vil kun en målt ændring på mere end 2 mm kunne anses for et sikkert tegn på vækst.
Valget af operationsmetode
Operation er den eneste behandling, der kan fjerne knuden helt. Operation af AN foregår altid på Rigshospitalets afdelinger henholdsvis Afdeling for Øre-Næse-Halskirurgi og Audiologi eller Afdeling for Hjerne- og Nervekirurgi.
Det endelige valg af operationsmetode sker efter en individuel lægelig vurdering og i samråd med dig (tag altid en pårørende med til samtalen).
Man opererer på to forskellige måder i Danmark, når man fjerner acusticusneurinomer. I forhold til valg af operationsmetoder er der forskellige fordele og ulemper afhængigt af hvilket operativt indgreb, der vælges.
Det translabyrintære indgreb
Dette indgreb anvendes normalt i de tilfælde, hvor knuden er stor. Metoden anvendes også, hvor knuden sidder et uheldigt sted eller, hvor hørelsen ikke er bevaringsværdig. En af fordelene ved dette indgreb er, at man under operationen ikke behøver at skubbe til hjernen. Det giver mindre risiko for bivirkninger.
Man skaber adgang til knuden i den indre øregang ved at operere gennem tindingebenet lige bag øret. Herved fjernes hele det indre øre og dermed også hørelsen og balancenerven på den opererede side. Fordelen ved indgrebet er, at det i langt den overvejende del af tilfældene lykkes at fjerne hele knuden. Det er meget sjældent, at knuden kommer igen. Der er også god sandsynlighed for ikke at beskadige ansigtsnerven. Ulempen er som sagt, at hørelsen og balancen forsvinder på den opererede side. Risikoen for påvirkning af ansigtsnervefunktionen opstår især ved større knuder. Det er vigtigt, at du informeres om, at jo større knuden er, jo større er risikoen for, at ansigtsnerven lider skade, så du kan få en eller anden grad af ansigtslammelse på den opererede side. I tilfælde, hvor fjernelse af hele knuden indebærer risiko for beskadigelse af ansigtsnerven, vælger kirurgen oftest at efterlade en mindre rest af knuden i et forsøg på at undgå ansigtslammelse. Der er gode chancer for, at den tilbageblivende rest af knuden ikke vokser.
Kirurgerne har udviklet en avanceret firhændig metode, som de bruger ved operationen. Denne metode har nedsat varigheden af operationen betydeligt og dermed mindsket risikoen for bivirkninger.

Operationsarret umiddelbart efter operationen
Det suboccipitale indgreb
Hvis hørelsen er bevaringsværdig, kan dette indgreb være relevant. Det foregår ved, at kraniet åbnes langt bag øret, og man får adgang til den indre øregang hen over lillehjernen. Det gør, at man kan skåne det indre øre (labyrinten) og dermed forsøge at bevare en del af hørelsen. Hovedulempen er, at man er nødt til at skubbe til hjernen for at få adgang, og det øger alt andet lige risikoen for bivirkninger såsom efterfølgende hovedpine.
Man kan ikke garantere hørebevarelsen.
Efter operationen er man indlagt fra 1-8 dage. Man bliver rutinemæssigt skannet dagen efter operationen og så ellers efter et år.
Ved udskrivelsen sendes en elektronisk genoptræningsplan (GOP) til din hjemkommune. Kommunen har derefter en forpligtigelse til at levere den i GOP foreslåede genoptræning inden for 5-7 dage. Det vil være forskelligt fra kommune til kommune, hvordan det rent praktisk kommer til at foregå.
Hos nogle patienter forlænges indlæggelsestiden på grund af udsiven af hjernevæske fra såret. I sjældne tilfælde er et mindre operativt indgreb nødvendigt for at lukke hullet.
Det er meget forskelligt, hvordan man har det efter operationen. Nogle patienter slipper nemt over operationen og slipper for bivirkninger. Andre patienter får få eller flere bivirkninger.
Træthed er almindelig efter en længerevarende operation. Det kan være et generende problem for nogle. Derfor er det vigtigt at få den ro og hvile, man har behov for. Det kan være en middagslur eller 20 minutters afslapning med benene oppe. Frem for alt gælder det om at lytte til sin krop.
Det er efter operationen ikke ualmindeligt med en periode med følelsesmæssige nedture. Man er påvirket af operationen og af omvæltningen i ens liv. Man skal måske vænne sig til enten at høre med ét øre, høre lidt dårligere med det opererede øre eller måske til både at have mistet hørelse og fået forringet ansigtsnervefunktionen.
Det er vigtigt at være i gang, men man skal ikke presse sig selv til hurtigt at skulle genoptage sit hidtidige arbejde i fuldt omfang, hvis man ikke føler sig frisk til det. For heftig og for energisk tilbagevenden til det tidligere aktivitetsniveau kan i nogle tilfælde senere føre til en periode med ekstrem træthed, modløshed og manglende selvsikkerhed.
Rekonvalescensperioden kan være af forskellig varighed, typisk fra mellem 2–6 måneder.

Operationsarret nogen tid efter operationen
Nedenfor en opremsning af de mange forskellige bivirkninger, der kan opstå efter operationen. De kan være midlertidige eller permanente.
Det er fuldstændigt individuelt, hvilke bivirkninger den enkelte rent faktisk får.
- Høretab
- Øjenproblemer
- Ansigtslammelse og følelsesløshed i ansigtet
- Tinnitus
- Svimmelhed og balanceproblemer
- Hovedpine og muskulære spændinger
- Psykiske reaktioner

For at kunne bestråle knuden helt præcist bliver der lavet en personlig maske, som spændes fast til underlaget, så hovedet ligger på nøjagtigt det samme sted ved hver eneste behandling.
Strålebehandling af knuden kan foretages, så længe den er mindre end ca. 25 mm. Denne behandling fjerner ikke knuden – men den påvirker knudens celler, således at væksten af knuden bliver standset. Behandlingen kaldes stereotaktisk strålebehandling (højpræcisions strålebehandling), og den foretages på Rigshospitalet.
Stereotaktisk strålebehandling foregår ambulant, og strækker sig over en periode på ca. 5 uger. Ved at bestråle over længere tid og i mindre doser skånes det væv og de nerver, som ligger tæt på knuden. Behandlingen foregår på ugens 5 hverdage, medens der holdes pause i weekenden. Hårtab ses ikke i forbindelse med stereotaktisk strålebehandling af acusticusneurinom.
Fordelen ved strålebehandling er, at risikoen for lammelser i ansigtet og komplikationer som ved en operation stort set ikke er til stede. I de fleste tilfælde forsvinder hørelsen på det bestrålede øre dog.
Ved strålebehandling kan man bremse væksten af knuden i ca. 80 % af tilfældene. De fleste bevarer arbejdsevnen og livskvaliteten.
Hos en mindre andel af patienterne vokser knuden dog fortsat trods strålebehandling. Hos denne patientgruppe kan der blive tale om operation.
Da knuden jo ikke bliver fjernet ved strålebehandlingen, er det nødvendigt at få foretaget kontrol MR-skanninger resten af livet. Skanningerne vil blive foretaget med øgede tidsintervaller.
Endelig er der beskrevet enkelte tilfælde, hvor strålebehandlingen har medført, at den godartede knude er blevet ondartet, men risikoen for, at bestrålingen medfører, at knuden omdannes til kræft, er så lille, at det ikke bør spille en rolle ved behandlingsvalg.
Der er normalt kun en meget kortvarig rekonvalescenstid efter en strålebehandlingen. Typisk 1–2 dage.
I forbindelse med strålebehandlingen kan der forekomme bivirkninger. Det afhænger af størrelsen på knuden. Jo større knude – desto større stråledosis. Risiko for ansigtslammelse og operationskomplikationer er dog stort set ikke til stede.
De mest almindelige bivirkninger ved behandling er forbigående kvalme, træthed og svimmelhed.
I de fleste tilfælde vil hørelsen på det bestrålede øre forsvinde over tid, men der er normalt ikke knyttet øjengener til behandling med bestråling.
Der vil kunne opstå svimmelhed og balanceproblemer som følge af strålebehandlingen. Med tiden vil disse gener ofte aftage eller helt forsvinde.
Det skal dog bemærkes, at erfaringsgrundlaget for senvirkninger af strålebehandlede patienter med acusticusneurinom er begrænset i Danmark.
Kontrolskanning
Da kunden kun hæmmes i vækst og ikke fjernes, skal man kontrolskannes med mellemrum resten af livet. Tidsintervallet mellem skanningerne bliver længere efterhånden.
Dansk Acusticus Neurinom Forenings formål er af varetage interesserne for mennesker diagnosticerede med acusticusneurinom samt NF2 og meningeomer. I foreningen kan ligeledes optages personer, som er diagnosticeret med anden lidelse, der kan medføre et eller flere af de samme symptomer som følge af knuder i lillehjernen eller den forlængede marv. Herunder meningioma glomus tumor, metastase, epidermoid tumor, endolymphatic sac tumor og andre sjældne tumorer med denne lokalisation.
Nedenfor kort om NF2 og meningeom:
Neurofibromatose type 2 (NF2)
Hos et lille antal acusticusneurinom patienter (ca. 5 %) sidder de godartede tumorer på begge sider. I dette tilfælde er der tale om en defekt på et bestemt kromosom, kromosom nr. 22. Det defekte gen, der er tale om, kaldes NF2.
Det er en arvelig lidelse, der er karakteriseret ved, at man kan være tilbøjelig til at udvikle godartede tumorer i det centrale nervesystem.
Sygdommen er langt mere sjælden end acusticusneurinom og skønnes kun at forekomme hos 1 ud af 200.000 mennesker.
Symptomer
Symptomerne viser sig typisk i 18-24 års alderen. Det første symptom er oftest ensidigt høretab, der kan vise sig enten gradvist eller pludseligt. Tinnitus er ligeledes et hyppigt forekommende første symptom. Efterhånden påvirkes også hørenerven i den modsatte side, og total døvhed kan ofte indtræde inden 30 års alderen. Hovedpine og vanskeligheder med at holde balancen er også hyppige symptomer.
Undersøgelse og diagnose
NF2 giver i starten de samme symptomer som acusticusneurinom, så diagnosen vil efter en MR- scanning oftest lyde på en acusticusneurinom.
Såfremt der måtte være mistanke om, at det evt. kan være NF2, kan yderligere undersøgelser vise, om der er en gendefekt. Arvegangen er autosomal dominant, dvs. at en person med syndromet med 50 pct. sandsynlighed vil videregive lidelsen til sine børn.
Behandling af NF2 foregår på Rigshospitalet
Afhængig af knudens størrelse vil der i samråd med lægerne blive planlagt et behandlingsforløb. De forskellige muligheder er de samme, som gælder for acusticusneurinom.
Senere symptomer
Flere end 90 pct. med sygdommen får synsproblemer af forskellig art og sværhedsgrad. Den mest almindelige årsag er udvikling af grøn stær, der optræder uafhængigt af knudens vækst.
Halvdelen af personer med NF2 vil få knuder i rygmarven, og omkring 40 pct. af disse vil udvikle symptomer i form af kraftnedsættelse, lammelser eller føleforstyrrelser.
Der kan være store variationer i sværhedsgraden af sygdommen.
Meningeomer
Dansk Acusticusneurinom Forening rådgiver kun patienter med meningeomer lokaliseret i den cerebellopontine vinkel (CBV), idet symptomerne på meningeomer i dette område tilnærmelsesvis er de samme som hos patienter med acusticusneurinom. Hovedparten af meningeomerne diagnosticeres derfor også oftest i første omgang som acusticusneurinomer netop på grund af disse symptomer.
Meningeomer udgår fra celler i hjernehinden (meninges), som dækker hjernen og rygraden, og de kan derfor sidde alle de steder, hvor der findes hinder i hjernen.
Knuden er omgivet af en kapsel og vokser normalt langsomt. Næsten alle meningeomer er godartede. Ondartede meningeomer er yderst sjældne og vokser normalt hurtigere end de godartede.
Almindeligvis presser knuden på det underliggende væv og kan i meget sjældne tilfælde vokse gennem kraniets knogler og gennem kraniet. Dette er ikke tegn på, at knuden er ondartet, men det kan dog forringe prognosen lidt.
Årsag
Årsagen til meningeomers opståen kendes ikke. Ioniserende stråling selv i meget små doser menes dog at kunne være en medvirkende årsag.
Meningeomer forekommer dobbelt så hyppigt hos kvinder som mænd. De optræder hos personer i alderen mellem 40-70 år.
Symptomer
Knuderne sidder uden på hjernen og trykker, da kraniet ikke kan give sig. Symptomer opstår ved, at knuden trykker på det omkringliggende væv.
Mistanke om en knude i hjernen opstår bl.a. på grund af følgende symptomer: Balanceproblemer, hørenedsættelse på det ene øre, svimmelhed, føleforstyrrelser i ansigtet, synsforstyrrelser og evt. hovedpine.
Symptomerne kan variere meget. Nogle vil mærke flere af symptomerne og andre næsten ingen.
Undersøgelse og diagnose
Meningeomer i den cerebellopontine vinkel giver som nævnt næsten samme symptomer som acusticusneurinomer og bliver derfor ofte i første omgang – efter en MR-skanning – diagnosticeret som et acusticusneurinom.
Først efter yderligere undersøgelser bliver den endelige diagnose fastslået. Det sker typisk på Rigshospitalet, hvor den videre behandling foregår.
Operation
Afhængig af knudens størrelse vil der blive planlagt et behandlingsforløb. Kirurgisk behandling er den primære behandling af meningeomer. De fleste kan fjernes uden større bivirkninger. Hvis knuden kan fjernes fuldstændigt, er patienten helbredt. Hvis knuden derimod ikke fjernes helt, har den tendens til at komme igen.
Mange patienter med meningeomer kan leve med knuden i mange år uden at have synderlige symptomer.
Strålebehandling
Ved strålebehandling anvendes præcisions strålebehandling til at ødelægge knudens celler. Denne metode kan anvendes til meningeomer, det ikke har været muligt at fjerne helt ved kirurgi, eller fordi operation ikke er mulig på grund af knudens placering. Metoden kan også anvendes til at fjerne knuder, der er kommet igen. Strålebehandlingen kan dog kun foretages én gang.
Strålebehandling gives normalt over en kort periode i små portioner, hvorved det omkringliggende væv skånes, f.eks. hver dag i 27-30 dage med pause i weekender.
Efter operation
Risikoen for eftervirkninger efter behandling er generelt mindre end ved behandling af acusticusneurinomer. Det kan dog variere noget fra person til person, ligesom det kan afhænge af knudens størrelse og nøjagtige placering.
Genoptræning
Ved udskrivelse fra Rigshospitalet er det vigtigt, at du får en handlingsplan / genoptræningsplan. Når du kommer hjem, så tar du kontakt til din kommune med henblik på genoptræning. Det er vigtigt, at du kommer hurtigt i gang med den genoptræning, som du har brug for.
Det kan være svært at få tildelt genoptræning, men vær stædig og kæmp din kamp.
Her kan du læse vores Ansigtsfolder så du selv kan træne ansigtet.
Her kan du læse vores øvelsesprogram Balance Træningsprogram Svimmel – genfind balancen.
Her kan du læse vores øvelsesprogram Udspændingsøvelser for nakken
Sundhedsstyrelsen. . . . . . . . .Vejledning om adgang til vederlagsfri fysioterapi
Danske Fysioterapeuter. . . . . . . . .Fysioterapi til personer med erhvervet hjerneskade
Sport og Motion
Sådan holder du hjernen skarp af Henning Kirk, aldersforsker, læge, dr. med. i netdoktor.dk
Hjælpemidler og forbrugsgoder
Vores patientgruppe vil meget ofte få brug for hjælpemidler til afhjælpning af høre- eller synsproblemer. I de fleste tilfælde vil hjælpemidlerne skulle bevilliges i henhold til Servicelovens §112 og §113. For at få hjælp efter disse paragraffer er der visse betingelser, der skal være opfyldt. For at få et overblik over disse ting, anbefales det, at man læser DUKH’s lovguide om hjælpemidler og forbrugsgoder.
I denne lovguide bliver man også gjort opmærksom på, at hjælpemidler til brug på job eller under uddannelse bevilliges af henholdsvis jobcentret eller uddannelsesinstitutionen. I visse særlige tilfælde vil hjælpemidler også skulle udleves fra sygehuset som behandlingsredskab til midlertidigt brug.
Link til DUKH lovguide
Besøg på Rigshospitalet inden behandling
Inden du skal møde til samtale på hospitalet, er det en god ide hjemmefra at skrive alle dine spørgsmål ned på et stykke papir, så du kan huske, hvad du vil spørge om.
Når du skal møde på hospitalet til en samtale omkring behandlingsforløb, eller når du skal have svar på skanningsbilleder, er det en god ide, at tage en pårørende eller ven med til samtalen. Det kan være svært som patient at forstå eller huske alt det du får fortalt. Husk at stille alle de spørgsmål, du måtte have.
Når du forlader hospitalet
Ved udskrivelsen sender sygehuset, hvis der er behov for genoptræning, en elektronisk genoptræningsplan (GOP) til din hjemkommune. Kommunen her derefter en forpligtigelse til at levere den i GOP foreslåede genoptræning inden for 5-7 dage. Det vil være forskelligt, hvordan den enkelte kommune planlægger genoptræningen.
Hvis du ikke hører fra kommunen inden for de 5-7 dage, så prøv selv at kontakte dem.
Det er også en god ide at bede om en kopi af din journal.
Halvsidig døv
Hvis du er blevet halvsidig døv, har du mulighed for at få et gratis høreapparat. Du skal henvende dig til din sagsbehandler i din kommune og få råd og vejledning .
Se din egen e-journal
Har du lyst til at se din egen e-journal, så kan du se den på Sundhed.dk
Lær at sige fra, giv dig selv lov til at sætte grænser.
Lær at acceptere at du måske ikke bliver helt den samme, som du var før operatonen. Det er vigtigt at kunne accepterer dette, for ellers vil du sætte nogle krav til dig selv, som du ikke vil kunne opfylde.
Jobafklaring
De fleste acusticusneurinompatienter kan klare deres sædvanlige arbejde før og efter operationen, men der er enkelte, der har brug for særlige foranstaltninger.
Der henvises til DUKH’s lovguider Rehabiliteringsplan og Rehabiliteringsteam samt lovguide om Flexjob.
Links:

